
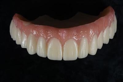
Apakah Veneers Feldspathic?
Venir feldspathic, diperbuat daripada mineral feldspar, adalah pilihan popular dalam teknologi pergigian tradisional. Bahan ini dikisar menjadi serbuk halus dan dibuat menjadi seramik seperti kaca oleh pakar seramik pergigian Cina yang mahir. Menggunakan lapisan nipis resin feldspar, setiap venir dibuat dengan tangan oleh juruteknik pergigian bertauliah, dibakar dengan sempurna, dan berkontur untuk mencapai rupa lut sinar dan semula jadi. Venir ini merupakan ciri khas makmal pergigian berkualiti tinggi, terutamanya makmal pergigian ADS China.
Venir feldspathic adalah pilihan premium untuk meningkatkan penampilan gigi. Dikilangkan di makmal pergigian Shenzhen ADS yang diperakui, venir ini menawarkan banyak kelebihan:

01
Penampilan Semulajadi
Venir feldspathic dibuat khas untuk digabungkan dengan lancar dengan gigi asli anda, memastikan senyuman seperti hidup. Lutsinarnya meniru rupa enamel semula jadi, menjadikannya hampir tidak dapat dikesan.
02
Persediaan Gigi Minimum
Tidak seperti venir E-max, venir feldspathic memerlukan sedikit atau tiada penyingkiran enamel, memelihara struktur gigi semula jadi. Venir pergigian yang tidak disediakan ialah ciri utama yang ditawarkan oleh makmal pergigian China kami.
03
Ketahanan
Walaupun nipis (sekecil 0.3 mm), venir feldspathic boleh bertahan sehingga 10 tahun atau lebih apabila diikat dengan betul.
04
Keberkesanan kos
Makmal Pergigian ADS di China memastikan venir feldspathic tersedia pada harga yang berpatutan, menjadikan penyelesaian pergigian premium boleh diakses oleh semua.
Venir Feldspathic Sesuai Untuk Siapa?

Pesakit yang memerlukan venir yang tidak disediakan.
Gigi dengan kebanyakan enamelnya utuh.
Kecacatan kecil seperti jarak yang tidak rata, perubahan warna atau sedikit kecacatan.
Individu yang mempunyai tuntutan estetik yang tinggi.
Kenapa pilih kami?
Kami sedang mencari rakan koperasi untuk mengembangkan perniagaan kami.
Penyelesaian Logistik Global
Perkongsian kami dengan FedEx, UPS, DHL dan LINEX membolehkan penghantaran ke seluruh dunia yang cepat dan selamat.
Kepakaran Makmal Pergigian Shenzhen
Kami ialah makmal pergigian terulung di China dengan lebih 400 juruteknik pergigian bertauliah yang pakar dalam venir dan penyelesaian pergigian premium yang lain. Pasukan kami mempunyai pengalaman berdekad-dekad dalam teknologi pergigian tradisional dan maju.
Sokongan Pelanggan yang berdedikasi
Lebih 40 wakil terlatih menyediakan komunikasi yang lancar dan 363-sokongan dalam talian sehari.
Masa Pusingan Pantas
Kes mudah, termasuk logistik, boleh disiapkan dalam masa 7 hari sahaja.
Waranti Komprehensif
Semua venir feldspathic kami disertakan dengan jaminan jangka panjang, mencerminkan komitmen kami terhadap piawaian makmal pergigian berkualiti tinggi di China.
Produk Pergigian Bertauliah
Venir kami memenuhi pensijilan antarabangsa seperti CE, FDA dan ISO, memastikan keselamatan, kebolehpercayaan dan prestasi terbaik
Soalan Lazim
Di makmal pergigian China ADS kami, kami menggabungkan ketukangan moden dengan teknologi pergigian tradisional untuk menyediakan penyelesaian makmal pergigian berkualiti tinggi. Hubungi kami hari ini untuk perkhidmatan makmal pergigian dengan harga berpatutan dan alami kecemerlangan makmal pergigian venir utama Shenzhen.
Apakah perbezaan antara venir E-max dan venir Feldspathic?
+
-
Venir E-Max, diperbuat daripada litium disilikat, terkenal dengan kekuatan dan ketahanannya. Walau bagaimanapun, venir feldspathic, yang dibuat di makmal pergigian Shenzhen, membolehkan penyesuaian bentuk dan warna yang lebih besar. Mereka sering diutamakan untuk mencapai penampilan semula jadi yang diperibadikan.
Seberapa Nipis Veneer Feldspathic?
+
-
Venir feldspathic boleh menjadi nipis seperti 0.3 mm, memerlukan penyediaan gigi yang minimum.
buates feldspathicveneer memerlukan penyediaan gigi?
+
-
Venir feldspathic yang sangat nipis boleh dibuat dengan sedikit penyediaan gigi.
Adakah Mereka Nampak Seperti Gigi Asli?
+
-
Ya, venir feldspathic direka dengan teliti untuk meniru warna, saiz dan bentuk gigi asli anda, menghasilkan senyuman yang sempurna dan kelihatan organik.
Berapa Lama Mereka Bertahan?
+
-
Dengan penjagaan yang betul, venir feldspathic boleh bertahan selama beberapa dekad. Memberus gigi secara berkala, flos, dan mengelakkan makanan keras akan memastikan mereka tahan lama.
Cool tags: venir feldspathic, China pengeluar venir feldspathic, pembekal, kilang
